美丽热线0510-68500888时间:2014-04-10  在线预约 | 咨询医生
昨天下午冲动了一下,跑去开眼角了,今天要上班,我还担心眼睛肿的不能出门,不过还好,不算肿。
刚开始选择医院的时候也很纠结,医院太多,也都是做广告的,选来选去还是选择了一家比较专业的整形医院,不过我觉得也没选错,那里的医生护士都还蛮好,手术的时候给我设计了几种方案,后选了合适我的,手术过程中他们一直都跟我聊天,转移我的注意力,所以我也没怎么紧张。
我早上的时候无意识的用手揉了一下眼睛,感觉到疼吓醒了,不知道会不会发炎,本来打算回来吃点消炎药就好了,现在想想还是到楼下的诊所打两天消炎针放心一些。附上图片。。。这是以前的照片。

天,这是刚做完的时候在医院拍的。

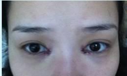
第二天,也就是今天早上起来刚刚拍的。


我之前的眼睛不算小,就是内眼角有点被扯住了,所以有点圆,希望做完手术后恢复的快一些,眼睛也有神一些,美丽是要付出时间和代价啊,哈哈哈。
今天第三天了,继续在打消炎针。



2012年07月11日更新:
本来是明天拆线的,不过听说明天有雨,我下午忍不住咨询了医生,后来直接去拆线了。。。这就是刚拆线近距离拍的,刚刚拆完线还是有点红,还在慢慢恢复中。


2012年07月12日更新:
昨天下午拆的线,今天是第七天了。。。左边的眼睛恢复没有右边的好,之前用手不小心碰到过,汗。。。还要继续观察。


